Navigation aufklappen/zuklappen
Home
Anwendungsbereiche
Galerie
Unsere Projekte
Kontakt
Impressum
Home
Galerie
Unsere Projekte
Kontakt
Impressum
Funktionsregler.info
Funktionsregler.info
Galerie
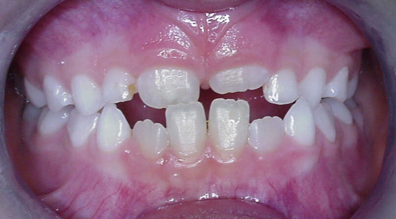
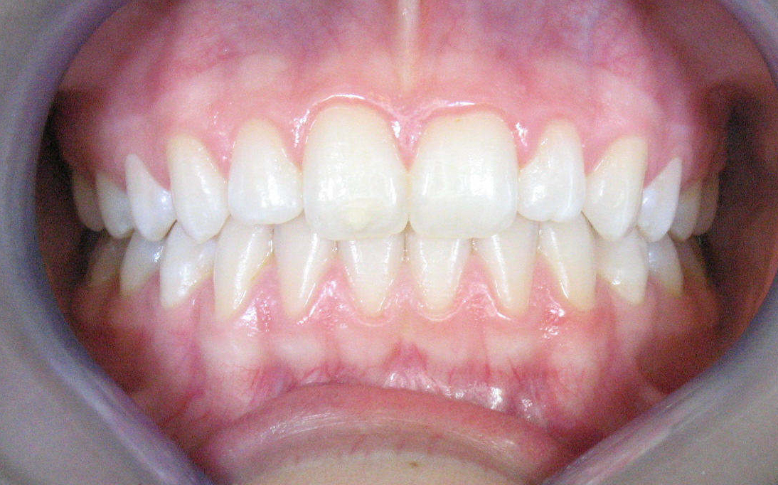
Sehen Sie sich die Bilder der Patienten an und bilden Sie sich Ihre Meinung.